Professionisti della salute dentale
Studio dentistico Pilato a Caltanissetta la soluzione giusta per i problemi della tua bocca
Studio Dentistico Pilato ha sede a Caltanissetta e da tanti anni ormai è un punto di riferimento per numerosi pazienti.
Offriamo servizi professionali per la cura delle problematiche dentali e per il mantenimento della salute orale.
Tutti i trattamenti promossi dal nostro studio dentistico, anche i più complicati, sono applicati senza dolore e con la massima attenzione alle esigenze del paziente.
Lo studio dentistico è stato realizzato nel rispetto delle vigenti norme igienico, sanitarie e di sicurezza, in modo che ogni ambiente risulti correttamente dimensionato e attrezzato per le funzioni previste.
Siamo convenzionati con le principali compagnie assicurative.
Prestazioni dentistiche professionali
Staff medico al servizio del paziente
Competenza in campo odontoiatrico
Cortesia disponibilità e terapie personalizzate
Area clinica
Le aree funzionali del nostro studio dentistico sono principalmente due: l'area clinica e quella della diagnostica.
La prima è costituita da tre sale operative, ambienti dedicati alle visite e alle cure programmate. Nella zona centrale si trova la sala di sterilizzazione, dove vi sono spazi e attrezzature che agevolano l'applicazione di rigidi protocolli a garanzia della sicurezza dei pazienti, rispetto a qualsiasi tipo di contaminazione.
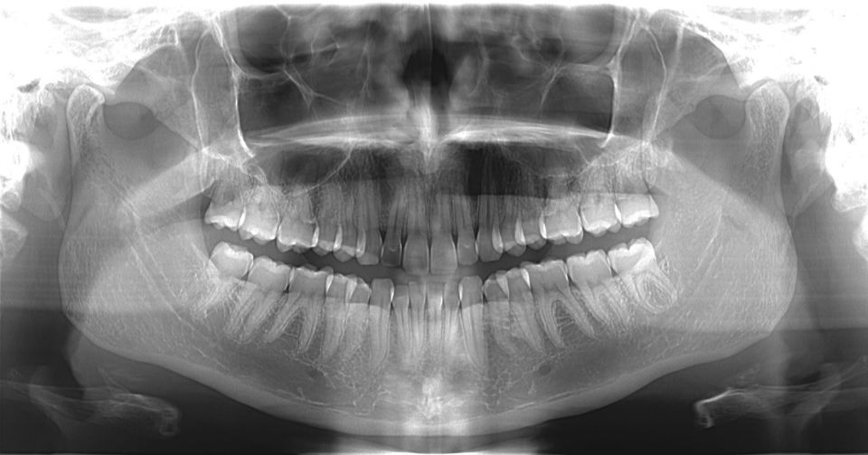
La diagnostica
Il nostro studio dentistico a Caltanissetta vanta moderni impianti per radiografie endorali, panoramiche (ortopantomografie), stratigrafie ATM e esami TAC Cone Beam.
Queste particolari tipologie di apparecchiature digitali permettono di effettuare rapidamente radiografie ad alta risoluzione con un dosaggio minimo di radiazioni.
Se vuoi sapere di più sulle procedure di diagnostica del nostro studio dentistico a Caltanissetta, contatta lo staff con un messaggio dall'apposito modulo di contatto, oppure con una semplice telefonata in sede.










